من نحــــن
عيــــادة د.تـــــوث
عيادة اسنان تخصصية بطاقم سعودي ١٠٠٪
- زراعات سترومان السويسرية Straumann الأولى والأفضل عالمياً والمعتمدة من منظمة الصحة الامريكية FDA ( مناسبة لجميع الحالات حتى مرضى السكري والمدخنين )
- زراعة الأسنان(تيتانيوم، زركونيا، زراعة فورية)
- الخلع الجراحي ، رفع الجيوب الأنفية و زراعة العظم.
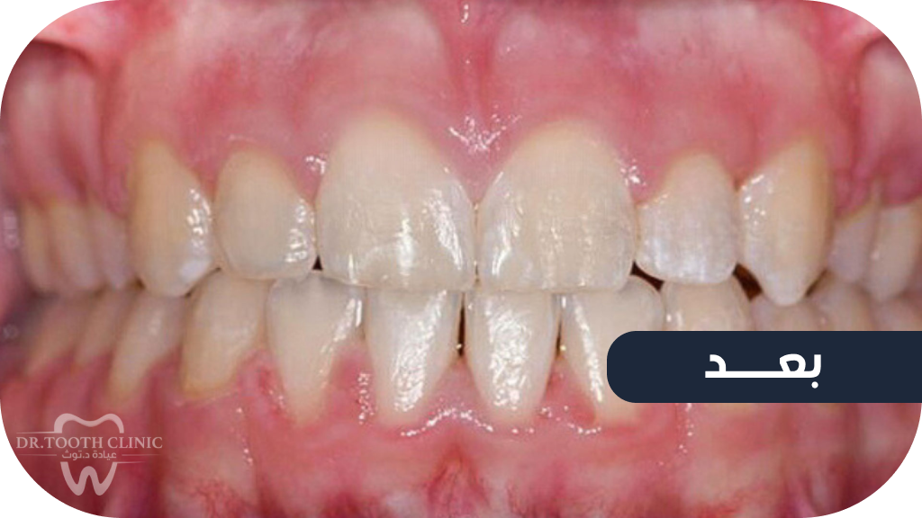
- التقويم الشفاف من شركة انفزلاين ( Invisalign )
- تشخيص ومعالجة الأسنان ومشاكل الفكين
- تقويم شفاف انفزلاين
د.متعب الرزني
استشاري اصلاح الأسنان
د.سطام الشمري
استشاري تقويم الاسنان
د.فارس الشمري
طبيب أسنان عام